Bogotá D. C., 30 de Julio de 2025 – Oficina de Comunicaciones HUN -
Vasculitis podría estar relacionada a daño pulmonar
La identificación del enfisema pulmonar, una enfermedad causada casi exclusivamente por el tabaquismo prolongado o la exposición constante a contaminantes ambientales o laborales, como posible manifestación temprana o aislada de esta enfermedad autoinmune plantea nuevos desafíos para los equipos médicos y abre el camino a futuras investigaciones. Un equipo conformado por el Hospital Universitario Nacional de Colombia (HUN) y la UNAL revela los hallazgos.
La vasculitis asociada a anticuerpos anticitoplasma de neutrófilos, es un grupo de enfermedades en las que el sistema inmunológico ataca por error a los vasos sanguíneos pequeños y medianos. Esta condición agrupa diagnósticos como la Granulomatosis con poliangitis, la Poliangitis microscópica o la Granulomatosis eosinofílica con poliangitis y sus síntomas pueden variar según los órganos afectados, pero comúnmente incluyen problemas renales, articulares y cutáneos, comenta el Dr. Javier Cajas Médico especialista en reumatología del HUN y docente de la Facultad de Medicina de la Universidad Nacional de Colombia.

Con esta investigación publicada en la revista científica Clinical Rheumatology demostraron una que una serie de manifestaciones emergentes y poco reconocidas, relacionaban a la Vasculitis con la aparición de Enfisema Pulmonar, comenta el Dr. Cajas, mientras expone que esta condición ha sido considerada una enfermedad causada casi exclusivamente por el tabaquismo prolongado o la exposición constante a contaminantes ambientales o laborales.
Tradicionalmente, el enfisema pulmonar se caracteriza por un daño progresivo a los alvéolos, las estructuras del pulmón donde ocurre el intercambio de oxígeno, lo que lleva a una respiración dificultosa y a una disminución en la calidad de vida del paciente.
Durante años, esta asociación con el cigarrillo fue tan fuerte que en la práctica clínica el hallazgo de enfisema se daba por hecho en personas con antecedentes de tabaquismo, dejando fuera la posibilidad de otras causas.
”Lo primero que pudimos ver es que es una complicación de la enfermedad de la vasculitis que no tiene mucho tiempo de encontrarse; no quiere decir que no existiera desde antes, sino que esta relación quizás no era tan conocida. Entonces nos dimos el trabajo de reunir varios de estos pacientes y hacer una revisión de toda la literatura, buscando desde cuándo vienen reportándose estos casos, cuál puede ser el mecanismo por el cual se produce el daño pulmonar tipo enfisema, y pues encontramos que sí existe una asociación importante entre estos dos grupos de patologías: la vasculitis y el enfisema.” Indica el Investigador Cajas.
¿Qué hallazgos se encontraron?
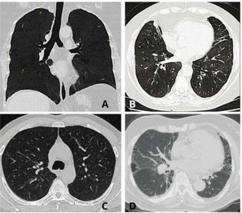
El equipo estudio tres casos de pacientes en Colombia, con diagnóstico de vasculitis ANCA y hallazgos de enfisema pulmonar, sin antecedentes de tabaquismo. Ante este patrón inusual, los investigadores realizaron una revisión sistemática de la literatura internacional, en la que analizaron 21 estudios y reportes clínicos publicados, que en conjunto incluían más de 90 pacientes con características similares.

Este ejercicio les permitió identificar que:
- El hallazgo de
enfisema en pacientes con vasculitis no fumadores se ha reportado en diversos
países.
- Existen patrones
repetitivos en las imágenes de los pulmones, como la presencia de pequeñas
zonas dañadas ubicadas en el centro o en los bordes del tejido pulmonar, que
permiten reconocer un tipo específico de enfisema relacionado con esta
enfermedad.
- En muchos de estos casos, el enfisema se presentaba antes del diagnóstico de vasculitis o como única manifestación pulmonar.
Además, el estudio sugiere que el enfisema en personas con vasculitis podría estar relacionado con el funcionamiento del sistema inmunológico, que en este caso atacaría sin razón aparente los pulmones, según lo comenta el investigador, esto podría suceder por la activación exagerada de ciertos glóbulos blancos o por desequilibrios en sustancias que normalmente protegen el tejido pulmonar.
Por eso, los autores recomiendan que los pacientes con vasculitis asociada a ANCA (AAV) reciban una evaluación pulmonar cuidadosa, este hallazgo invita a los médicos a observar los pulmones de manera más detallada desde el principio, ya que el daño puede estar presente sin que la persona lo note.
Hacia dónde debe avanzar la investigación
“Todavía no sabemos con exactitud por qué se presenta el enfisema en estos pacientes, ni cuál es su evolución a largo plazo. Este hallazgo abre muchas preguntas. Se necesitan estudios más grandes que nos permitan definir si este patrón tiene implicaciones en la progresión de la vasculitis, en el tratamiento, o incluso en la sobrevida del paciente.” Aclara el Dr. Sebastián Molina, médico reumatólogo del Hospital Universitario Nacional de Colombia y profesor adjunto de la Facultad de Medicina, Universidad Nacional de Colombia

Según el investigador Molina, este trabajo representa un paso importante para comprender mejor la posible relación entre ambas condiciones. Sin embargo, advierte que aún existen muchas preguntas sin resolver. Los casos clínicos analizados, sumados a la revisión de la literatura, muestran un patrón repetitivo de daño pulmonar en personas que nunca han fumado, lo que plantea nuevas dudas sobre cómo se comporta realmente esta enfermedad y cómo debe ser abordada desde la práctica clínica.
Una nueva guía para el seguimiento de personas con vasculitis en el HUN
Gracias a este estudio, los investigadores están reforzando la importancia de realizar una evaluación pulmonar más detallada en pacientes diagnosticados con vasculitis asociada a ANCA (AAV). Tradicionalmente, el enfoque se ha centrado en órganos como los riñones o la piel, pero este hallazgo invita a prestar mayor atención a los pulmones, incluso si el paciente no tiene síntomas respiratorios ni antecedentes de tabaquismo.
“En el Hospital Universitario Nacional tenemos un grupo dedicado a la enfermedad pulmonar de origen autoinmune, en alianza con neumología. Este tipo de estudios impulsa proyectos como una futura clínica de excelencia, y nos permite entender mejor las múltiples formas en que la vasculitis puede afectar a nuestros pacientes, incluso cuando no presentan síntomas evidentes.” explica el Dr. Javier Cajas.
Este estudio no solo aporta una observación clínica relevante, sino que también pone sobre la mesa la necesidad de revisar y ampliar los enfoques tradicionales en el diagnóstico y seguimiento de la vasculitis. La identificación del enfisema como posible manifestación temprana o aislada de esta enfermedad autoinmune plantea nuevos desafíos para los equipos médicos y abre el camino a futuras investigaciones.
Esta investigación invita a mirar con mayor atención los signos que a veces pasan desapercibidos, a fortalecer el diálogo entre especialidades y a seguir construyendo evidencia clínica desde realidades locales, como la colombiana, que enriquecen el panorama global de la medicina.
(Por: fin/JGJ/ )